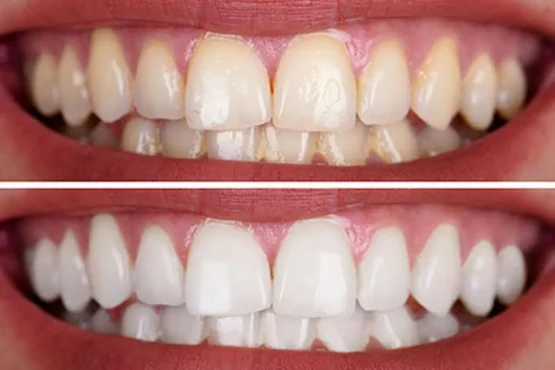
لاک سفید کننده دندان چیست؟
لاک سفید کننده دندان یک محصول آرایشی و بهداشتی است که برای سفید کردن دندانها بهطور موقت استفاده میشود. این محصول معمولاً شامل ترکیباتی مانند پراکسید هیدروژن یا کاربامید پراکسید است که با آزاد کردن اکسیژن، لکههای سطحی دندان را کاهش میدهند. لاک سفید کننده دندان در قالبهای مختلفی مانند ژل، خمیردندان، پاست یا قلمهای مخصوص عرضه میشود و به دلیل سهولت استفاده، محبوبیت زیادی دارد.

نحوه عملکرد لاک سفید کننده دندان
لاک سفید کننده دندان با استفاده از ترکیبات شیمیایی فعال، لکههای رنگی روی دندان را از بین میبرد. این ترکیبات با نفوذ به مینای دندان، رنگ عاج زیرین را روشنتر کرده و باعث سفیدتر شدن دندانها میشوند. برخی از انواع لاک سفید کننده دندان شامل قلم سفید کننده، ژل، نوار سفید کننده و خمیردندانهای مخصوص هستند که هرکدام روش استفاده متفاوتی دارند.
مزایای لاک سفید کننده دندان
سفید کردن سریع دندانها بدون نیاز به روشهای پرهزینه مانند لمینت یا بلیچینگ.
حذف لکههای رنگی ناشی از مصرف قهوه، تنباکو و نوشیدنیهای رنگی.
افزایش اعتماد به نفس با داشتن دندانهای سفید و درخشان.
روش غیرتهاجمی که نیازی به تراشیدن مینای دندان ندارد.
قابل حمل و استفاده آسان، بهویژه برای افرادی که زمان کافی برای مراجعه به دندانپزشک ندارند.

عوارض لاک سفید کننده دندان
حساسیت دندانی به دلیل وجود مواد شیمیایی مانند پراکسید هیدروژن.
سایش مینای دندان در صورت استفاده بیش از حد و مکرر.
نتایج موقتی که نیاز به استفاده مداوم دارد و ممکن است تأثیر دائمی نداشته باشد.
احتمال تحریک لثه در صورت تماس مستقیم با مواد سفیدکننده.
عدم تأثیر روی لکههای عمیق، زیرا این محصول فقط روی سطح دندان اثر میگذارد.

نکات مهم در استفاده از لاک سفید کننده دندان
مطالعه دستورالعمل محصول قبل از استفاده.
عدم استفاده بیش از حد برای جلوگیری از آسیب به مینای دندان.
مشورت با دندانپزشک در صورت داشتن حساسیت دندانی.
استفاده از محصولات معتبر و اجتناب از خرید محصولات بیکیفیت.
جمعبندی
لاک سفید کننده دندان یک روش سریع و آسان برای سفید کردن دندانها است، اما باید با احتیاط استفاده شود. اگرچه این محصول میتواند ظاهر دندانها را بهبود ببخشد، اما استفاده بیش از حد از آن ممکن است باعث آسیب به مینای دندان و حساسیت شود. برای داشتن دندانهای سالم و سفید، بهتر است علاوه بر استفاده از این محصولات، بهداشت دهان و دندان را رعایت کنید و بهطور منظم به دندانپزشک مراجعه کنید.
لینک کوتاه : https://yasamin-hosseinifar.ir/?p=459


